SUBSCRIBERS

Making good decisions for a bad heart

There is hope even for patients with severe blockage of all the three major heart arteries

Published Fri, Oct 16, 2015 · 09:50 PM

    DeeperDive is a beta AI feature. Refer to full articles for the facts.

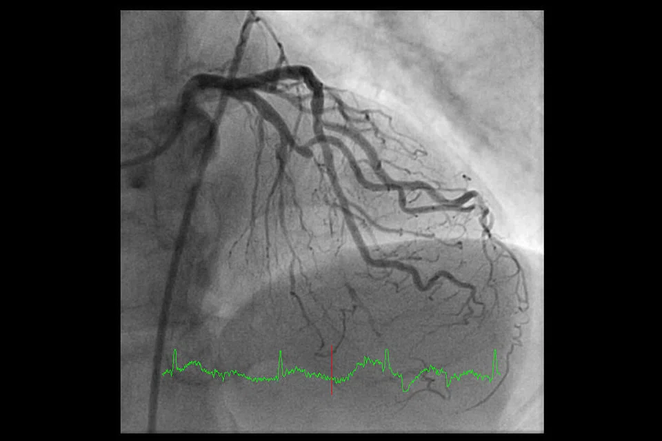
    MR A was found to have severe blockage of all the three major heart arteries resulting in compromised blood flow to the heart. This caused his heart to be significantly swollen and his pumping action of his left heart chamber (left ventricle or LV) was significantly impaired.

    In a normal heart, for every 100 millilitres of blood that flows into the LV, the efficiency of 50 per cent or more means that more than 50 per cent or more of the blood volume that flows into the LV is pumped out of the LV into the aorta, the main arterial channel of the body.

    In Mr A's case, his LV was able to pump only 15 per cent of the blood volume with each heartbeat, creating a strain on the LV and causing him to have breathlessness and chest tightness with minimal activity.

    Copyright SPH Media. All rights reserved.