Minimising the risks of a heart attack

A major health disaster can be averted if we learn to read the tell-tale signs of coronary heart disease

Published Fri, Mar 30, 2018 · 09:50 PM

    CARDIOVASCULAR disease was estimated to result in 17.3 million deaths worldwide on an annual basis. Seventy per cent of sudden cardiac arrests have been attributed to coronary heart disease. In 2016, statistics showed that 16 people die from cardiovascular disease (heart diseases and stroke) in Singapore every day. Cardiovascular disease accounted for 29.5 per cent of all deaths. This means that nearly 1 out of 3 deaths in Singapore is due to heart diseases or stroke.

    Can we minimise the risk of heart attack before it is too late? These are some ways:

    In addition, it also provides important information about the origin and pathway of the coronary arteries. Some people are born with abnormal origin of the coronary artery. This may result in myocardial ischemia (a condition where the heart muscle is starved of oxygen due to inadequate blood supply) and sudden death.

    CT coronary angiography demonstrates severe coronary artery stenosis due to soft plaque. Magnetic Resonance Myocardial Perfusion Imaging (Stress CMR) is frequently used to assess for the presence of myocardial ischemia and myocardial infarction (heart muscle damage due to heart attack) as a result of coronary heart disease. Cardiovascular magnetic resonance is also the gold standard for the assessment myocardial viability.

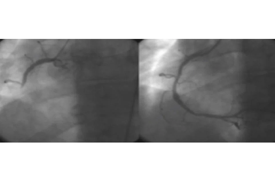
    Other useful assessments include ECG, treadmill exercise test, radionuclide myocardial perfusion imaging, stress echocardiography and cardiac enzymes. Invasive coronary angiography with the aim of percutaneous coronary intervention can also be carried out if the patient has clear clinical evidence of significant coronary heart disease with a presence of cardiovascular risk factors.

    According to data from Ministry of Health Singapore, the prevalence of hypertension among Singapore residents aged 18-69 years is around 25 per cent. Recent studies performed in China with total participants of 1.7 million showed that the prevalence of hypertension increases gradually as the age of people increases.

    DECODING ASIA

    Navigate Asia in
    a new global order

    Get the insights delivered to your inbox.

    The prevalence of hypertension for both genders is more than 50 per cent among the participants aged 60-64 and it further increases to more than 60 per cent among participants aged 70-74. Essentially, this means that at least one out of two people will have hypertension when they reach the age of 60 and above.

    To reduce the risk of developing hypertension, a healthy lifestyle is vital. The following will help to reduce the risk of hypertension: Regular exercise; loss of weight in people who are overweight or obese; avoiding high salt diet; avoiding excessive alcohol consumption; and avoiding exposure to chronic stress.

    If any of the cardiovascular risk factors are identified, please seek medical advice as soon as possible. You may need to be treated with medication.

    Healthy lifestyles such as low cholesterol or low fat diet, regular exercise, smoking cessation and maintaining normal weight; adherence to long-term medications, regular review and follow-up with the doctor are all essential in ensuring that the problems are managed properly.

    In summary, to minimise the risk of heart attack, let us be familiar with the tell-tale signs of heart attack or coronary heart disease; know about your health status by early detection of coronary heart disease and proper evaluation of your heart; eliminate the cardiovascular risk factors and treat the problem once identified.

    This series is produced on alternate Saturdays in collaboration with Singapore Heart, Stroke & Cancer Centre.

    Copyright SPH Media. All rights reserved.