Screening for coronary artery disease

It is important as early intervention means a better chance of survival

Published Fri, Oct 26, 2018 · 09:50 PM

    IT'S finally happened: I needed coronary artery stenting. I told my brother about it one Sunday and he smiled: To him, I had finally joined the club.

    Ten years ago, he was back for a short trip from Shanghai where he was posted. He had declared that his company would send him for medical screening, possibly because he was getting more valuable to the organisation. I looked up from my work and told him that he needed to do only one thing: get his heart screened.

    He was a good Singaporean, hard working, responsible and had time for little else besides his job, and yes, he had more than his fair share of food. He was not a smoker nor drinker, and certainly not a glutton, but he had his midlife paunch. His problem was that he did not like to waste food, and would "hoover" up whatever was left uneaten on the table. The poor animal that was sacrificed, c'mon, make its life worthwhile, don't let it die in vain.

    To my surprise, he agreed to the scan and it showed significant disease in two vessels. He needed coronary artery stenting. True to form, he refused outright. He had no symptoms and much less time, and was due to return to China.

    I had no handle on him. No one could convince him. To tell my mom would have been futile and as I discussed with my wife what to do, I suddenly had a brainwave: call his wife. Yes, that did the trick. The wife told him in no uncertain terms what needed doing and he agreed. The procedure was arranged the next day, she flew down from Shanghai and arrived just as he finished the procedure. And to cap it all, it was Valentine's Day. A happy ending. I was quite proud of myself.

    Not long after, I met a classmate of my brother's, another typical Singaporean in the hospital. However, this friend of ours also smoked. I gave him the same advice, and he said he would think about it.

    DECODING ASIA

    Navigate Asia in
    a new global order

    Get the insights delivered to your inbox.

    No long after, I was told that he actually had a heart attack and even in that state, had to be persuaded to go to hospital, and to think he's a doctor too! I met him some time later and his retort was that the advantage of waiting was that one gets a payout from the insurance in a heart attack in contrast to elective stenting. He might as well have gone for bypass surgery. That will also trigger a payout!

    In my organisation, all the senior physicians go for their regular checks. I, on the other hand, have been avoiding it as much as I can. This time, we were getting a new centre and fitting it out with the best scanners, a dual source CT that allows the heart to be scanned in a single beat and top of the line 3T MRI, the first in Asia! All the new toys!

    I was overjoyed and decided to try it out. To my horror, I had high-grade narrowing to the second most important heart artery, and occlusion to another branch artery.

    My colleagues were aghast; in truth, I was looking at a five-year mortality if I didn't act on the findings. And I had no symptoms at all. I would occasionally go for 5-7 km slow jogs around the estate and this could easily have done me in. Who said hard work doesn't kill!

    Little pain, little downtime

    The fortunate thing was that I could still be stented and didn't need cardiac bypass. Therefore, the price of the treatment was not high (not in monetary terms though). It would mean being on an x-ray table while they manipulated small catheters to the region of interest, cross with a guidewire and stent. And I would be observed overnight in the ICU and discharged the next day. Not much pain really, and very little downtime. The only thing is that I'll need to be on meds for a long time.

    The product specialist of our scanner declared recently: In today's context, no one should die from a heart attack. And she is not wrong.

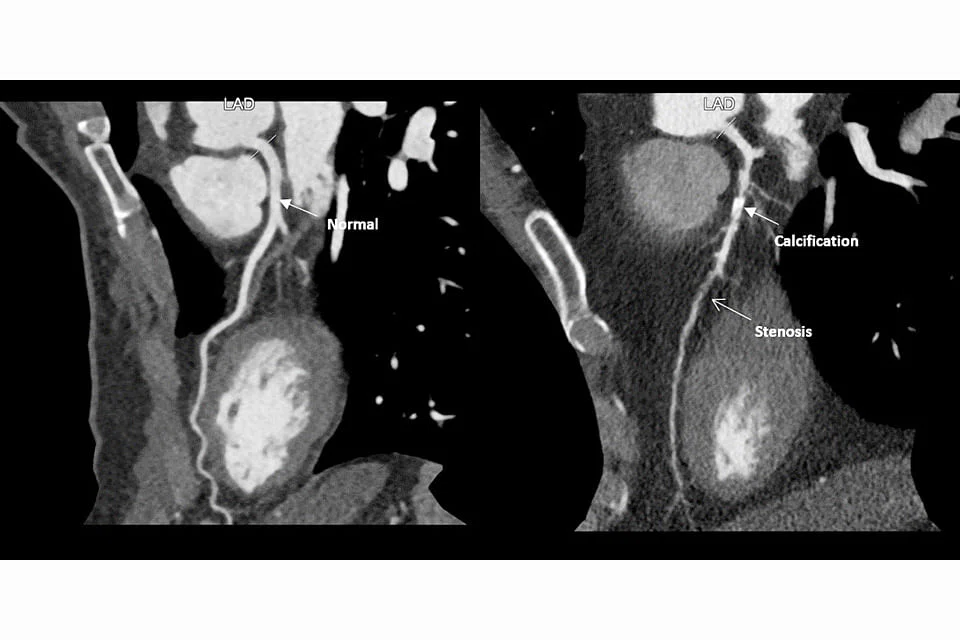
    We do have the technology to detect significant disease. The statistics from stress ECG with the treadmill has a positive accuracy of 70 per cent and CT calcium score 95 per cent with a CT coronary angiogram, the negative predictive value of studies rises to 98 per cent, but accuracy diminishes when calcium score rises to more than 400.

    In an article in 2010, it was commented that very limited information was available on the role of Coronary CT Angiogram for risk assessment in asymptomatic persons. The prevalence of significant coronary stenoses in the low-, moderate- and high-risk groups was 2 per cent, 7 per cent, and 16 per cent, respectively. The groups are stratified according to Global Risk Assessment tools based on age, gender, blood lipid profile, and major associated risk of hypertension, diabetes and smoking (eg Framingham Risk Assessment). Men are assessed to be at much higher risk, 2-5 times more than women.

    Based on the combined efforts of nine specialty societies, indications that were rated as appropriate for coronary CT Angiogram and non contrast CT calcium score include asymptomatic patients with low risk family history or those with intermediate risk.

    In high-risk patients, the value of a CT angiogram is uncertain. In 2016, the Asian Society of Cardiovascular Imaging formed a new working group for revision of Appropriate Use Criteria for non-invasive cardiac imaging. It concluded the use of coronary CT angiogram (CCTA) is appropriate for high-risk patients. In general, however, the use of CCTA in routine repeat testing, and general screening in certain clinical scenarios were viewed less favourably.

    To change behaviour in men to go for screening and for subsequent treatment, the influence of women is paramount. In 1972, an international team of academics identified a new and terrifying public health crisis.

    In a far eastern province of Finland - North Karelia - middle-aged men were dropping dead of heart attacks at the highest known rates in the world.

    The Finnish Minster of Health at the time recognised the seriousness of the problem and appointed a 27-year old physician, Pekka Puska, to lead a pilot project in the region to tackle the problem. Not because he was good, but because he was young and the problem was going to take a long time to solve.

    Dr Puska quickly realised that the problem was related to their diet and smoking. As a strategy, he began recruiting the women, giving them talks to slowly replace their fatty diet with healthier options. The women slowly changed the diets of their families, replacing butter with oil for cooking, meat with vegetables and adding less salt and cutting smoking.

    As a result, the community was able to cut the rates of heart attacks by more than 80 per cent.

    Women's role

    Just as then, the motivation for men's change of behaviour are the women in their lives and to get those at risk of heart disease screened and treated, these women have to be mobilised. A case in point was what happened to my brother: only his wife could persuade him into the cath lab.

    The basis of screening is that the disease has a high enough incidence in a community, the disease can be picked up early enough for meaningful intervention with good survival chances, and there are easy and inexpensive ways to screen for the condition (Wilson's criteria).

    In Singapore, the statistics for colorectal cancers, the incidence for 35-64 age group is approximately 60/ 100,000 in men and 30/100,000 in women. For breast cancer, it is approximately 140/100,000 in 2008-2012 (Singapore Cancer Registry, report No 8). The incidence of coronary heart disease in the Finnish population in a publication in 1999 was 786/ 100,000 person years for men and 256/100,000 person years for women. As can be seen, the disease burden is much higher in coronary artery disease and consideration must be made for screening, particularly for men.

    Therefore, I think it was out of frustration when a reader wrote to The Straits Times Forum not so long ago, lamenting the use of technology that drives up health care cost. In it, he expressed the hope that physicians would not suggest investigations that are unnecessary and unlikely to yield results. But really, as my personal experience indicates, even with the best of experts, an individual like me, with no symptoms, and with a family history of low cardiac risk, should not have undergone CCTA, but did nevertheless, and lived to tell the tale.

    This series is produced on alternate Saturdays in collaboration with Singapore Medical Specialists Centre.

    Copyright SPH Media. All rights reserved.